Porcelain Veneers in Orange County, CA

Transforming Smiles with Lasting Beauty
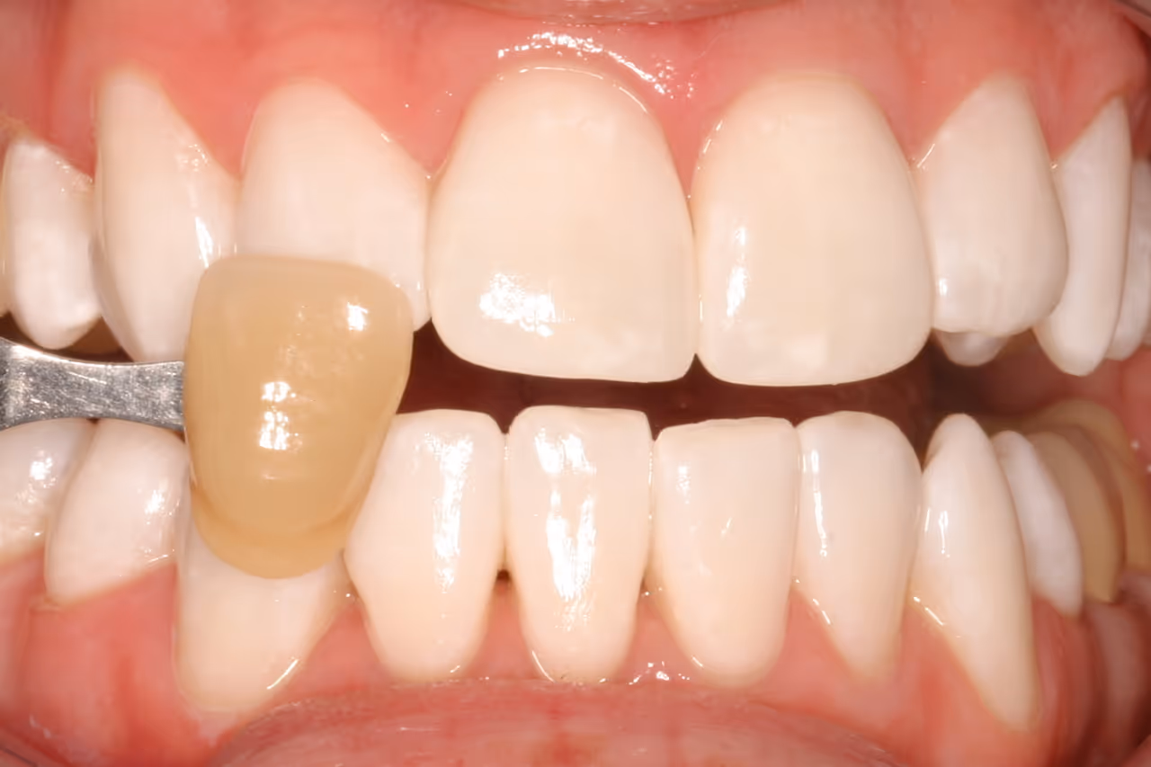
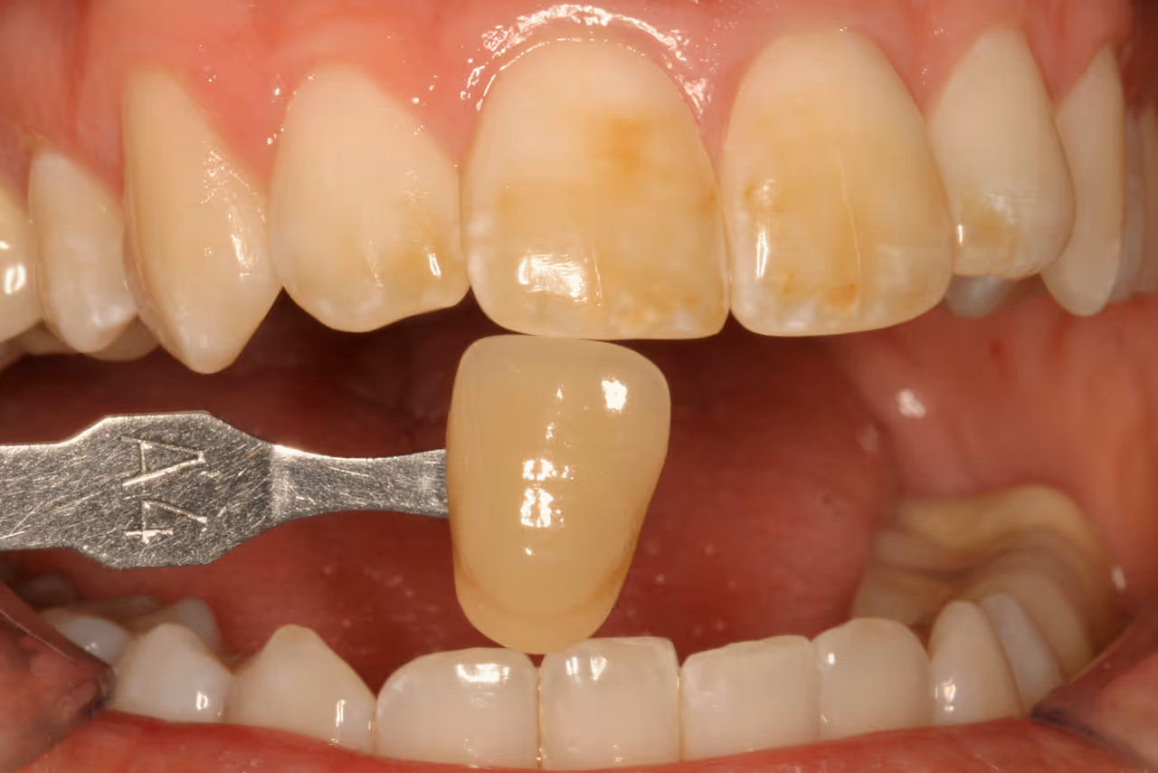
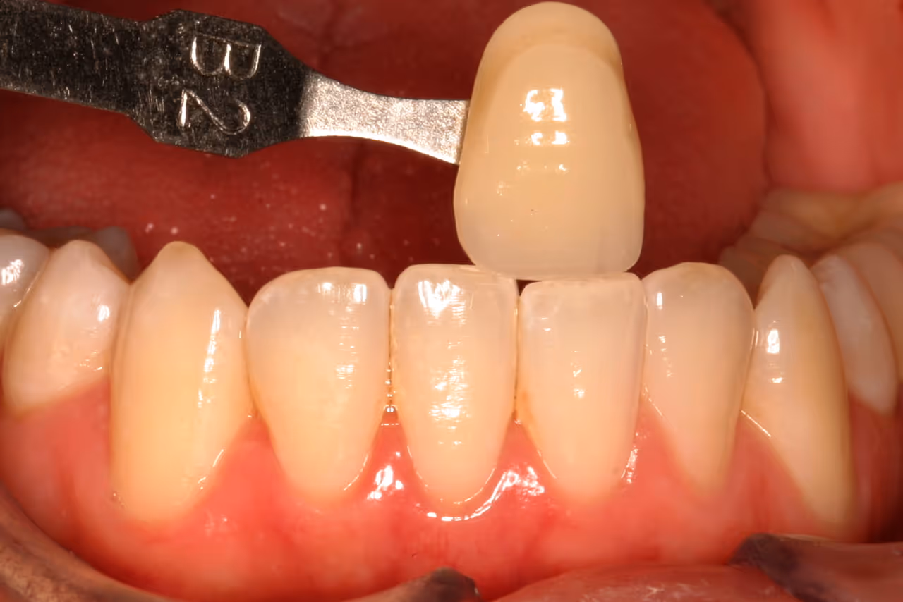
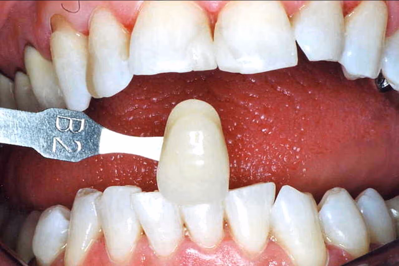
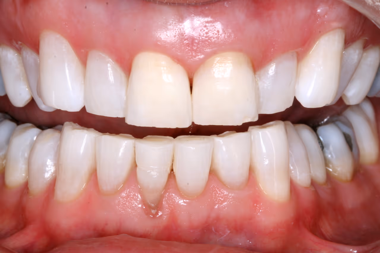
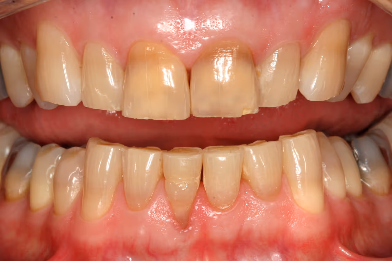
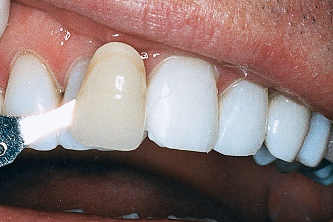
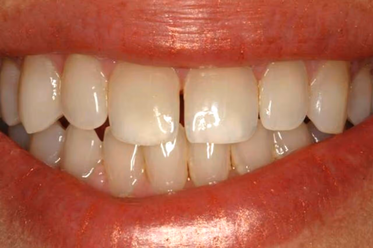
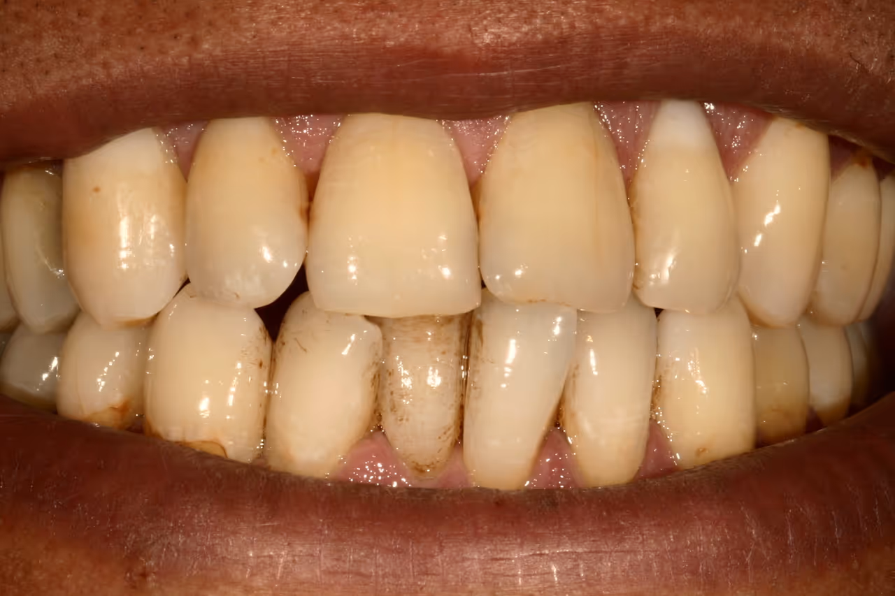
If you want to correct chips, stains, gaps, or uneven teeth, porcelain veneers offer one of the most effective ways to achieve a flawless, natural-looking smile. These thin, custom-crafted shells are bonded to the front of your teeth, instantly enhancing their shape, color, and alignment.
Dr. Tasneem Nabelsi, Dr. Maissa Agha, and Dr. Adrien Hamedi at Perfect Smile Dental Care create veneers that blend seamlessly with your facial features and mimic the natural translucency of enamel, delivering a smile that looks as beautiful as it feels.
.avif)
What Porcelain Veneers Can Address
- Permanent discoloration that doesn’t respond to teeth whitening
- Worn-down or unevenly shaped teeth
- Minor misalignment or small gaps
- Chipped or cracked enamel
- Teeth that are too small or irregularly sized
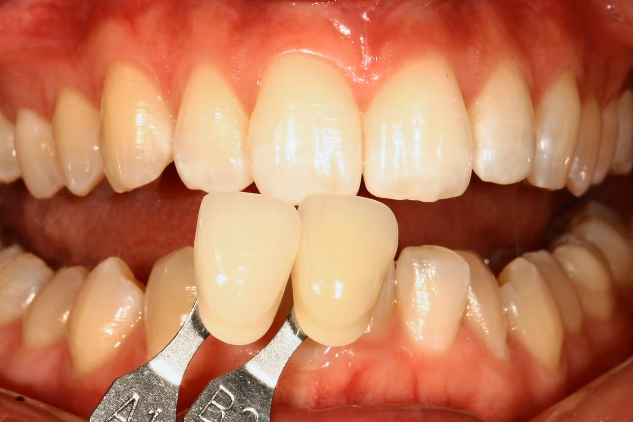
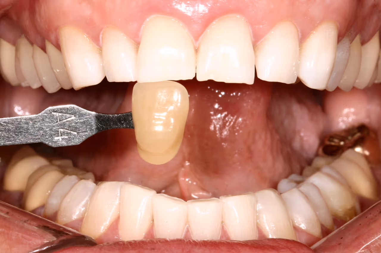
The Porcelain Veneer Process
- Consultation & Smile Design: We assess your goals, evaluate your teeth, and determine whether veneers are the best solution or if another orthodontic treatment may be recommended.
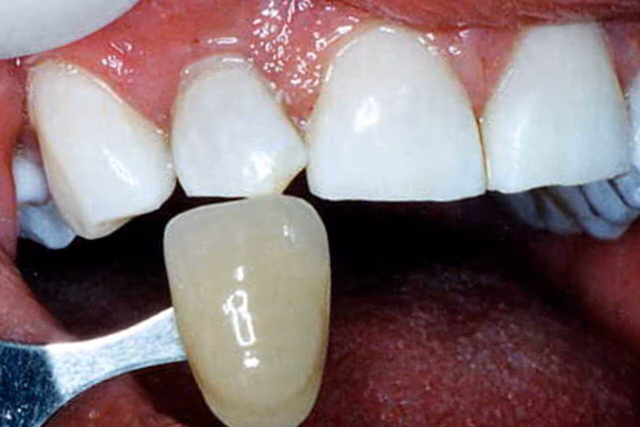
- Tooth Preparation: A small amount of enamel is gently removed from the front surface of each tooth to make room for the veneer.
- Impressions: Digital scans or impressions are taken to ensure your veneers are precisely crafted for fit and appearance.
- Temporary Veneers: While your permanent veneers are being made, temporary ones may be placed for comfort and aesthetics.
- Final Placement: The custom veneers are bonded securely to your teeth, with adjustments made for comfort and symmetry.
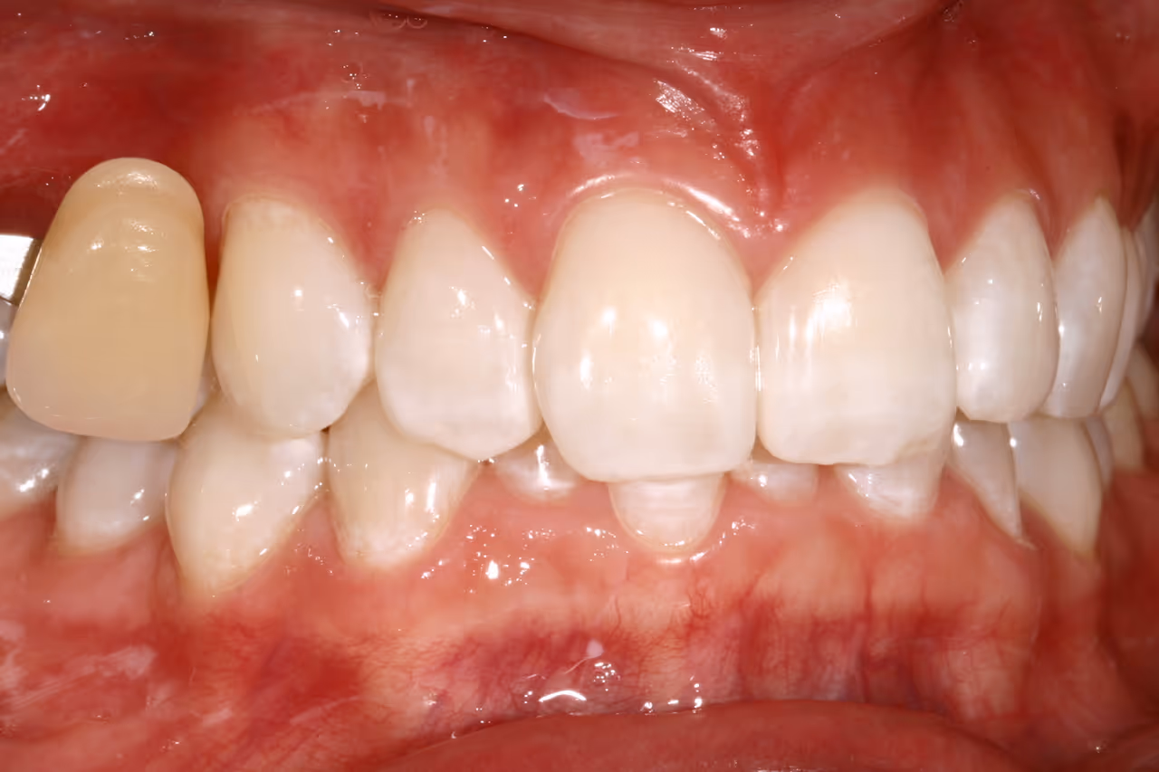
Advantages of Porcelain Veneers
- Highly durable and stain-resistant
- Natural translucency for a realistic appearance
- Can correct multiple aesthetic concerns at once
- Long-lasting results with proper care
- Customizable in shape, size, and color to suit your smile
Caring for Your Veneers
- Brush and floss daily with non-abrasive toothpaste
- Avoid biting directly into very hard foods
- Wear a night guard if you grind your teeth
- Schedule regular dental exams to keep your veneers and surrounding teeth healthy
Combining Veneers with Other Treatments
Veneers can be part of a larger smile makeover, often paired with treatments like Invisalign, whitening, or gum contouring for optimal results. We work with you to design a plan that enhances your smile’s aesthetics while protecting its long-term health.
Serving Veneer Patients Across Orange County
We provide porcelain veneers for patients from Anaheim, Irvine, Cypress, Tustin, Lake Forest, Aliso Viejo, Rancho Santa Margarita, and Garden Grove. We also welcome out-of-state patients who want to complete their cosmetic treatments while visiting Southern California.
FAQs: Porcelain Veneers
Question text goes here
Lorem ipsum dolor sit amet, consectetur adipiscing elit, sed do eiusmod tempor incididunt ut labore et dolore magna aliqua. Ut enim ad minim veniam, quis nostrud exercitation ullamco laboris nisi ut aliquip ex ea commodo consequat. Duis aute irure dolor in reprehenderit in voluptate velit esse cillum dolore eu fugiat nulla pariatur.
How long do porcelain veneers last?
With proper care, veneers can last 10–15 years or more.
Do veneers require special cleaning?
No. They should be cared for like natural teeth, with daily brushing, flossing, and regular checkups.
Are veneers reversible?
Because a small amount of enamel is removed, the procedure is not reversible, but veneers can be replaced if needed.
Will veneers look fake?
When properly designed and placed, veneers blend naturally with surrounding teeth for a realistic appearance.
Can veneers chip or crack?
Yes, though they are strong, avoiding hard impacts and wearing protection during sports can help prevent damage.
Schedule Your Porcelain Veneers Consultation
Enhance your smile with custom porcelain veneers from Perfect Smile Dental Care. Call (714) 276-8226 or request an appointment online to start your transformation.

